同样的年龄,有的人青春依旧,有的人看似迟暮。其实,在女性与衰老这场拉锯战中,起着决定性作用的便是——卵巢。
它可以说是操控着女人青春和衰老的“魔力之手”,会影响到女性皮肤、神经、免疫等400多个组织器官的青春与活力。可以说,卵巢就是女性的“青春之源”。
通常情况下,女性在50岁左右开始进入绝经期,但往往有些女性因为种种原因导致45岁前就出现停经及更年期症状,这不仅影响了女性的生育能力,更让女性提前陷入“早衰期”。而卵巢早衰的治疗,临床上也主要以补充激素暂缓症状为主,根本无法治愈,且长期的激素干扰恐怕还会引发副反应。
干细胞被喻为“万能细胞”,近年来颇为火热,成为科学家们探索难治性疾病的新选择。一项干细胞治疗年轻女性卵巢早衰的结果显示:干细胞让卵巢早衰女性恢复生育能力,且推迟了患者的更年期。
研究中有2名患者血清激素水平在注射干细胞后3个月开始显著增加,效应至少维持了一年,她们的更年期症状也已经被完全消除!有些患者的月经也恢复了正常。

这对卵巢早衰患者而言,无疑是最好的结果,干细胞或许能够成为她们新的治疗选择。

经过多年的科学实验、临床研究以及医学报道,干细胞对多种卵巢功能退化有比较好的改善功效。一项干细胞治疗年轻女性的卵巢早衰的研究结果证明了干细胞的神奇功效。这项研究从目前已经接受治疗的患者髂嵴处提取了间充质干细胞,并且通过微创腹腔镜的手段将细胞植入患者自身一侧的卵巢中,同时保证另外一侧卵巢不受影响。
之后,研究人员对患者的血常规、卵巢成像以及更年期症状进行定期调查。结果显示:接受治疗的一侧卵巢相比对照侧卵巢体积有明显增大,而且患者接受干细胞治疗后也没有出现明显的副作用。

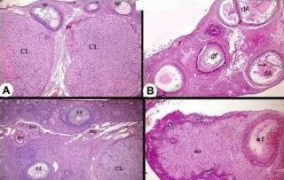
干细胞治疗后,卵巢体积、各级卵泡数等都明显增加
更为惊奇的是,其中有2名已经完成治疗的参与者血清雌激素水平在注射干细胞后3个月就开始增加,效应至少维持了一年!而且她们的更年期症状完全被消除了。另外,也有6名参与者的月经周期也恢复了正常。
干细胞有“归巢”属性,可迁移定植于损伤部位如卵巢,并能在器官内存活生长,分化为卵巢细胞,替代并修复受损的组织,同时还会分泌细胞因子抑制卵巢细胞的凋亡,从而达到改善卵巢功能,平衡激素水平的作用,改善由生殖系统衰老引起的一系列症状,实现由内而外的年轻态。
其实,不仅仅是治疗卵巢早衰,大量的研究数据和临床表现证明,对于正常女性临近更年期,或者有延缓卵巢衰老的需求都可以接受干细胞治疗。而干细胞也不止在抗衰的“新武器”,更在多种疾病治疗中得到广泛应用,比如血液系统疾病、神经系统疾病、心血管系统疾病以及代谢性疾病等等,并取得良好的临床效益。相信随着对干细胞研究的深入,干细胞将为更多人带来益处。